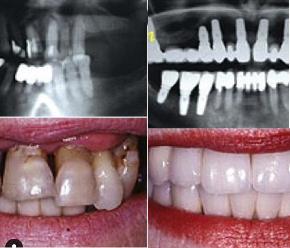
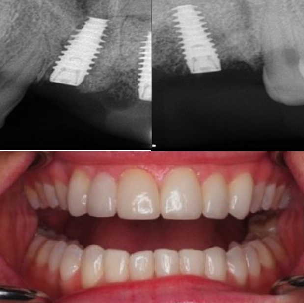
إذا كنت ترغب في الحصول على أسنان ولا تملك ما يكفي من العظام لإجراء علاج الزرع، لم يعد هناك حاجة إلى زراعة العظم من الآن فصاعدا.
تقدم زراعة الأسنان تحت السمحاق ثلاثية الأبعاد (3D subperiosteal implants) حلاً موثوقًا للحصول على أسنانك، خاصة في الحالات التي تكون فيها كمية العظام غير كافية لدعائم الزرع التقليدية.
عوده دون الحاجة إلى الخضوع لعلاج ترقيع عظمي واسع النطاق.
هذه التقنية ثورة في استبدال الأسنان!


